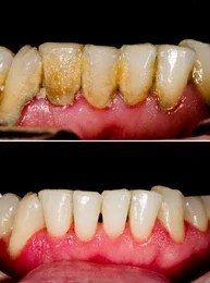
Dental scaling and polishing, also known as professional teeth cleaning, is a non-surgical procedure.
It involves the careful removal of plaque, tartar, and stains from the surfaces of your teeth.
Scaling removes plaque and tartar, preventing gum disease and promoting healthier gums. Polishing enhances the aesthetic appeal of your smile by removing surface stains and creating a smooth finish.
Benefits of dental scaling and polishing include preventing gum disease, improving oral health, and enhancing the beauty of your smile.
Visit Dr. Naidu’s Dental Clinic for comprehensive dental care and discover the transformative power of dental scaling and polishing.





